Latest publications

Impaired nucleocytoplasmic transport in SOD1-mediated ALS

Molecular Neurodegeneration (2026)

Impaired nucleocytoplasmic transport (NCT) has emerged as a shared pathogenic mechanism in various neurodegenerative disorders, including amyotrophic lateral sclerosis (ALS). Although mutations in the gene encoding superoxide dismutase 1 (SOD1) account for approximately 20% of familial ALS cases, the impact of mutant SOD1 accumulation on the NCT remains unclear.

Blocking RAN translation without altering repeat RNAs rescues C9ORF72-related ALS and FTD phenotypes

Science (2026)

The expansion of the hexanucleotide repeat GGGGCC in the noncoding region of the C9ORF72 gene is the most common genetic cause of amyotrophic lateral sclerosis (ALS) and frontotemporal dementia (FTD). Jiang et al. investigated whether the pathological effects were driven by aggregated RNA foci or by the dipeptide repeat proteins (DPRs) translated from the sense– and antisense repeat–containing transcripts (see the Perspective by Arnold and La Spada).

All publications

Statins and genetic inhibition of the mevalonate pathway activate an ATF3-STMN2 regenerative program

Matthew Nolan, Sandeep Aryal, I. Sandra Ndayambaje, Maize Cao, Peyton Lee, Moriah Hovde, Shuqi Yun, Josette Wlaschin, Aaron Held, Hortense Beaussant, Benjamin Wymann, Chao Zong-Lee, Su Min Lim, Xin Jiang, Nandini Ramesh, Ana Rita Agra Almeida Quadros, Ayub Boulos, Nicolas Zinter, Shireen Salem, Laïla El-Tayar, Melinda Beccari, Maximiliano Presa, Charles Jourdan Ferreras Reyes, Yin Yin Ruan, Grant Griesman, Corey Aguilar, James Hawrot, Hayden Wheeler, Zevik Melamed, Benjamin P. Kleinstiver, Mark Albers, Don W. Cleveland, Rudolph E. Tanzi, Cathleen M. Lutz, Robert D. Hubbard, Dione Kobayashi, Michael Ward, Christiano R.R Alves, Brian Wainger, Claire Le Pichon and Clotilde Lagier-Tourenne

Biorxiv (2026) DOI:https://doi.org/10.64898/2026.02.23.707492

Impaired nucleocytoplasmic transport in SOD1-mediated ALS

Shirel Argueti-Ostrovsky*, Su Min Lim*, Olubankole A. Arogundade, Sandra Diaz-Garcia, Gulshan Yunisova, Alex Meng, Anita Hermann, Kailee Ong, Ekaterina Eremenko, Mariana Bravo-Hernandez, Shawn P. Driscoll, Chao-Zong Lee, Xin Jiang, Alexandra Stavsky, Shir Barel, Tom Shani, Joy Kahn, Samuel L. Pfaff, Alon Monsonego, Martin Marsala, John Ravits, Clotilde Lagier-Tourenne* and Adrian Israelson*

Molecular Neurodegeneration (2026) DOI: https://doi.org/10.1186/s13024-026-00930-8

Blocking RAN translation without altering repeat RNAs rescues C9ORF72-related ALS and FTD phenotypes

Xin Jiang, Laure Schaeffer, Divya Patni, Tommaso Russo , Chao-Zong Lee, Corey Aguilar, Christine Marques, Karen Jansen-West , Marian Hruska-Plochan, Ananya, Ray-Soni, Su Min Lim , Aaron Held, Mei Yue, Paula Castellanos Otero, Sandeep Aryal, Hortense D. A. M. Beaussant, Himanish Basu , Hiro Takakuwa , Lillian M. Daughrity, Nandini Ramesh, Paulo Da Costa, Ana Rita A. A. Quadros, Matthew Nolan, Charles Jourdan F. Reyes, Hayden Wheeler, Laura C. Moran , Grant Griesman, Benjamin Wymann , Bianca A. Trombetta , Emma Sofia Lopez-De-Silanes , Michael Canori, Gopinath Krishnan, Yasmim Vieira Souza Da Silva, Gilbert Eriani , Mark W. Albers, Steven E. Arnold, Yuyu Song, Ankur Jain, Isaac M. Chiu , Yong-Jie Zhang , Fen-Biao Gao , Brian J. Wainger , Magdalini Polymenidou , Leonard Petrucelli , Franck Martin*, and Clotilde Lagier-Tourenne*

Science (2026) DOI: DOI: 10.1126/science.adv260

Lysosomal escape and TMEM106B fibrillar core determine TDP-43 seeding

Weijia Zhong, Carlo Scialò, Beatrice Gatta, Manon Häfliger, Noemi Leu, Flavio Lurati, Martina Peter, Nandini Ramesh, Bernd Roschitzki, Somanath Jagannath, Ruchi Manglunia, Elena de Cecco, Su Min Lim, Oscar G. Wilkins, Adriano Aguzzi, Michael Ward, Pietro Fratta, Leonard Petrucelli, Clotilde Lagier-Tourenne, and Magdalini Polymenidou

BioRxiv (2025) DOI: https://doi.org/10.64898/2025.12.19.695531.

Stathmin-2 enhances motor axon regeneration after injury, independent of its binding to tubulin

Melinda S. Beccari, Olatz Arnold-Garcia, Michael W. Baughn, Jonathan W. Artates, Melissa McAlonis-Downes, Jaisen Lim, Dulce Fernanda Leyva-Cázares, Hugo Isaac Rubio-Lara, Andrea Ramirez-Rodriguez, Carol N. Bernal-Buenrostro, Brian Murgia-Bay, Carolina K. Rangele, Dong Hyun Kim, Ze’ev Melamed, Cathleen M. Lutzg , Clotilde Lagier-Tourenne, Kevin D. Corbett, Jone López-Erauskin*, and Don W. Cleveland*

PNAS (2025) DOI: https://doi.org/10.1073/pnas.2502294122

Recurrent patterns of widespread neuronal genomic damage shared by major neurodegenerative disorders

Zinan Zhou, Lovelace J. Luquette, Guanlan Dong, Junho Kim, Jayoung Ku, Kisong Kim, Mingyun Bae, Diane D. Shao, Bezawit Sahile, Michael B. Miller, August Yue Huang, William J. Nathan, Andre Nussenzweig, Peter J. Park*, Clotilde Lagier-Tourenne*, Eunjung Alice Lee*, Christopher A. Walsh*

BioRxiv (2025) DOI: https://www.biorxiv.org/content/10.1101/2025.03.03.641186v3

Aberrant splicing in Huntington’s disease accompanies disrupted TDP-43 activity and altered m6A RNA modification

Thai B. Nguyen, Ricardo Miramontes, Carlos Chillon-Marinas, Roy Maimon, Sonia Vazquez-Sanchez, Alice L. Lau, Nicolette R. McClure, Zhuoxing Wu, Keona Q. Wang, Whitney E. England, Monika Singha, Jennifer T. Stocksdale, Marie Heath, Ki-Hong Jang, Sunhee Jung,Karen Ling, Paymann Jafar-nejad, Jharrayne I. McKnight, Leanne N. Ho, Osama Al Dalahmah, Richard L. M. Faull, Joan S. Steffan, Jack C. Reidling, Cholsoon Jang, Gina Lee, Don W. Cleveland, Clotilde Lagier-Tourenne, Robert C. Spitale* & Leslie M. Thompson*

Nature Neuroscience (2025) DOI:https://doi.org/10.1038/s41593-024-01850-w

FUS controls muscle differentiation and structure through LLPS 2 mediated recruitment of MEF2 and ETV5

Gina Picchiarelli* , Anne Wienand*, Salim Megat, Amr Aly, Marije Been, Nibha Mishra, Saskia Hutten, Erin Sternburg, Pierre Cauchy, Stéphane Dieterle , Marica Catinozzi, Valérie Demais, Laura Tzeplaeff, Annemarie Huebers , Dagmar Zeuschner, Angela Rosenbohm, Albert C. Ludolph, Anne-Laurence Boutillier, Tobias Boeckers, Dorothee Dormann, Maria Demestre, Chantal Sellier*, Clotilde Lagier-Tourenne*, Erik Storkebaum*, Luc Dupuis*

BioRxiv (2024) DOI: : https://doi.org/10.1101/2024.09.18.613669

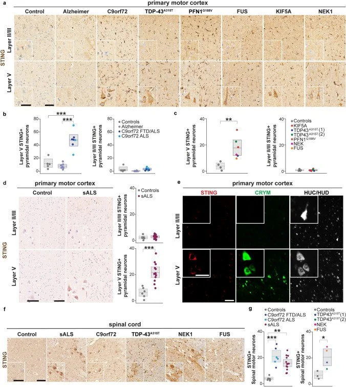
Neuronal STING activation in amyotrophic lateral sclerosis and frontotemporal dementia

Christine Marques, Aaron Held, Katherine Dorfman, Joon Sung, Catherine Song, Amey S. Kavuturu, Corey Aguilar, Tommaso Russo, Derek H. Oakley, Mark W. Albers, Bradley T. Hyman, Leonard Petrucelli, Clotilde Lagier‐Tourenne, Brian J. Wainger

Acta Neuropathologica (2024) DOI: https://doi.org/10.1007/s00401-024-02688-z

Cryptic splicing of stathmin-2 and UNC13A mRNAs is a pathological hallmark of TDP-43-associated Alzheimer’s disease

Ana Rita Agra Almeida Quadros, Zhaozhi Li, Xue Wang, I Sandra Ndayambaje, Sandeep Aryal, Nandini Ramesh, Matthew Nolan, Rojashree Jayakumar, Yi Han, Hannah Stillman, Corey Aguilar, Hayden J. Wheeler, Theresa Connors, Jone Lopez-Erauskin, Michael W. Baughn, Ze'ev Melamed, Melinda S. Beccari, Laura Olmedo Martínez, Michael Canori, Chao-Zong Lee, Laura Moran, Isabelle Draper, Alan S. Kopin, Derek H. Oakley, Dennis W. Dickson, Don W. Cleveland, Bradley T. Hyman, Sudeshna Das*, Nilüfer Ertekin-Taner*, Clotilde Lagier-Tourenne*

Acta Neuropathologica (2024) DOI: https://doi.org/10.1007/s00401-023-02655-0

Somatic Mosaicism in Amyotrophic Lateral Sclerosis and Frontotemporal Dementia Reveals Widespread Degeneration from Focal Mutations

Zinan Zhou, Junho Kim, August Yue Huang, Matthew Nolan, Junseok Park, Ryan Doan, Taehwan Shin, Michael B. Miller, Brian Chhouk, Katherine Morillo, Rebecca C. Yeh, Connor Kenny, Jennifer E. Neil, Chao-Zong Lee, Takuya Ohkubo, John Ravits, Olaf Ansorge, Lyle W. Ostrow, Clotilde Lagier-Tourenne*, Eunjung Alice Lee*, Christopher A. Walsh*

BioRxiv (2023) DOI: https://doi.org/10.1101/2023.11.30.569436

Abberant splicing in Huntington’s disease via disrupted TDP-43 activity accompanied by altered m6A RNA modification

Thai B Nguyen, Ricardo Miramontes, Carlos Chillon-Marinas, Roy Maimon, Sonia Vazquez-Sanchez, Alice L. Lau, Nicolette R. McClure, Whitney E. England, Monika Singha, Jennifer T. Stocksdale, Ki-Hong Jang, Sunhee Jung, Jharrayne I. McKnight, Leanne N. Ho, Richard L. M. Faull, Joan S. Steffan, Jack C. Reidling, Cholsoon Jang, Gina Lee, Don W. Cleveland, Clotilde Lagier-Tourenne, Robert C. Spitale, Leslie M. Thompson

BioRxiv (2023) DOI: 10.1101/2023.10.31.565004

iPSC motor neurons, but not other derived cell types, capture gene expression changes in postmortem sporadic ALS motor neurons

Aaron Held, Michelle Adler, Christine Marques, Charles Jourdan Reyes, Amey S. Kavuturu, Ana R. A. A. Quadros, Sandra Ndayambaje, Erika Lara, Michael Ward, Clotilde Lagier-Tourenne, Brian J. Wainger

Cell Report (2023) DOI: 10.1016/j.celrep.2023.113046

Stathmin-2 loss leads to neurofilament-dependent axonal collapse driving motor and sensory denervation

Jone López-Erauskin, Mariana Bravo-Hernandez, Maximiliano Presa, Michael W. Baughn, Ze'ev Melamed, Melinda S. Beccari, Ana Rita Agra de Almeida Quadros, Olatz Arnold-Garcia, Aamir Zuberi, Karen Ling, Oleksandr Platoshyn, Elkin Niño-Jara, Sandra Ndayambaje, Melissa McAlonis-Downes, Larissa Cabrera, Jonathan W. Artates, Jennifer Ryan, Anita Hermann, John Ravits, Frank Bennett, Paymaan Jafar-Nejad, Frank Rigo, Martin Marsala, Cathleen M. Lutz*Don W. Cleveland*Clotilde Lagier-Tourenne*

Nature Neuroscience (2023) DOI: 10.1038/s41593-023-01496-0

Mechanism of STMN2 cryptic splice-polyadenylation and its correction for TDP-43 proteinopathies

Michael W. Baughn*, Ze'ev Melamed*, Jone López-Erauskin, Melinda S. Beccari, Karen Ling, Aamir Zuberi, Maximilliano Presa, Elena Gonzalo-Gil, Roy Maimon, Sonia Vazquez-Sanchez, Som Chaturvedi, Mariana Bravo-Hernández, Vanessa Taupin, Stephen Moore, Jonathan W. Artates, Eitan Acks, Sandra Ndayambaje, Ana Rita Agra de Almeida Quadros, Paayman Jafar-Nejad, Frank Rigo, C. Frank Bennett, Cathleen Lutz, Clotilde Lagier-Tourenne*, Don W. Cleveland*

Science (2023) DOI: 10.1126/science.abq5622

Interactions between FUS and the C-terminal Domain of Nup62 are Sufficient for their Co-phase Separation into Amorphous Assemblies

Meenakshi Sundaram Kumar, Karly M. Stallworth, Anastasia C. Murthy, Su Min Lim, Nan Li, Aastha Jain, James B. Munro, Nicolas L. Fawzi, Clotilde Lagier-Tourenne, Daryl A. Bosco

Journal of Molecular Biology (2023)https://doi.org/10.1016/j.jmb.2023.167972

Gasdermin-E mediates mitochondrial damage in axons and neurodegeneration

Dylan V. Neel, Himanish Basu, Georgia Gunner, Matthew D. Bergstresser, Richard M. Giadone, Haeji Chung, Rui Miao, Vicky Chou, Eliza M. Brody, Xin Jiang, Edward B. Lee, Christine Marques, Aaron Held, Brian Wainger, Clotilde Lagier-Tourenne, Yong-Jie Zhang, Leonard Petrucelli, Tracy L. Young-Pearse, Alice S. Chen-Plotkin, Lee L. Rubin, Judy Lieberman, Isaac M. Chiu

Neuron (2023) https://doi.org/10.1016/j.neuron.2023.02.019

iPSC Motor Neurons with Familial ALS Mutations Capture Gene Expression Changes in Postmortem Sporadic ALS Motor Neurons

Aaron Held, Michelle Adler, Christine Marques, Amey S. Kavuturu, Ana R.A.A. Quadros, I. Sandra Ndayambaje, Erika Lara, Michael Ward, Clotilde Lagier-Tourenne, Brian J. Wainger

bioRxiv(2022)10.25.513780; doi: https://doi.org/10.1101/2022.10.25.513780

Stathmin-2 loss leads to neurofilament-dependent axonal collapse driving motor and sensory denervation

Jone Lopez-Erauskin, Mariana Bravo-Hernandez, Maximiliano Presa, Michael W. Baughn, Ze’ev Melamed, Melinda S. Beccari, Ana Rita Agra de Almeida Quadros, Aamir Zuberi, Karen Ling, Oleksandr Platoshyn, Elkin Niño-Jara, I. Sandra Ndayambaje, Olatz Arnold-Garcia, Melissa McAlonis-Downes, Larissa Cabrera, Jonathan W. Artates, Jennifer Ryan, Frank Bennett, Paymaan Jafar-nejad, Frank Rigo, Martin Marsala, Cathleen M. Lutz*, Don W. Cleveland*, Clotilde Lagier-Tourenne*

bioRxiv (2022) 12.11.519794; doi: https://doi.org/10.1101/2022.12.11.519794

Comprehensive preclinical evaluation of human-derived anti-poly-GA antibodies in cellular and animal models of C9ORF72 disease

Melanie Jambeau, Kevin D. Meyer, Marian Hruska-Plochan, Ricardos Tabet, Chao-Zong Lee, Ananya Ray-Soni, Corey Aguilar, Kitty Savage, Nibha Mishra, Nicole Cavegn, Petra Borter, Chun-Chia Lin, Karen Jansen-West, Jay Jiang, Fernande Freyermuth, Nan Li, Pierre De Rossi, Manuela Pérez-Berlanga, Xin Jiang, Lilian M. Daughrity, Joao Pereira, Sarav Narayanan, Yuanzheng Gu, Shekhar Dhokai, Isin Dalkilic-Liddle, Zuzanna Maniecka, Julien Weber, Michael Workman, Melissa McAlonis-Downes, Eugene Berezovski, Yong-Jie Zhang, James Berry, Brian J. Wainger, Mark W. Kankel, Mia Rushe, Christoph Hock, Roger M. Nitsch, Don W. Cleveland, Leonard Petrucelli, Tania Gendron, Fabio Montrasio, Jan Grimm*, Magdalini Polymenidou*, Clotilde Lagier-Tourenne*

Proceedings of the National Academy of Sciences (2022) https://doi.org/10.1073/pnas.2123487119

Loss of TDP-43 in male germ cells causes meiotic failure and impairs fertility in mice

Kaitlyn M. Campbell, Yiding Xu, Chintan Patel, Jeremy M. Rayl, Helenda D. Zomer, Hari Prasad Osuru, Michael Pratt, Patcharin Pramoonjago, Madeline Timken, Lyndzi M. Miller, Abigail Ralph, Kathryn M. Storey, Yiheng Peng, Jenny Drnevich, Clotilde Lagier-Tourenne, Philip C.Wong, Huanyu Qiao, Prabhakara P. Reddi

J. Biol. Chem. (2021) Sep 29:101231.

Wild-type FUS corrects ALS-like disease induced by cytoplasmic mutant FUS through autoregulation

Inmaculada Sanjuan-Ruiz, Noe Govea-Perez, Melissa McAlonis-Downes, Stéphane Dieterle, Salim Megat, Sylvie Dirrig-Grosch, Gina Picchiarelli, Diana Piol, Qiang Zhu, Brian Myers, Chao-Zong Lee, Don W. Cleveland, Clotilde Lagier-Tourenne, Sandrine Da Cruz*, Luc Dupuis*

Molecular Neurodegeneration. (2021) 16(1):61.

Cytoplasmic FUS triggers early behavioral alterations linked to cortical neuronal hyperactivity and inhibitory synaptic defects

Jelena Scekic-Zahirovic, Inmaculada Sanjuan-Ruiz, Vanessa Kan, Salim Megat, Pierre De Rossi, Stéphane Dieterlé, Raphaelle Cassel, Marguerite Jamet, Pascal Kessler, Diana Wiesner, Laura Tzeplaeff, Valérie Demais, Sonu Sahadevan, Katharina M. Hembach, Hans-Peter Muller, Gina Picchiarelli, Nibha Mishra, Stefano Antonucci, Sylvie Dirrig-Grosch, Jan Kassubek, Volker Rasche, Albert Ludolph, Anne-Laurence Boutillier, Francesco Roselli, Magdalini Polymenidou, Clotilde Lagier-Tourenne, Sabine Liebscher*, Luc Dupuis*.

Nature Communications. (2021) May 21;12(1):3028. doi: 10.1038/s41467-021-23187-9.

Reduced C9ORF72 function exacerbates gain of toxicity from ALS/FTD-causing repeat expansion in C9orf72.

Zhu Q, Jiang J, Gendron TF, McAlonis-Downes M, Jiang L, Taylor A, Diaz Garcia S, Ghosh Dastidar S, Rodriguez MJ, King P, Zhang Y, La Spada AR, Xu H, Petrucelli L, Ravits J, Da Cruz S, Lagier-Tourenne C*, Cleveland DW*.

Nat Neurosci. (2020) May;23(5):615-624. doi: 10.1038/s41593-020-0619-5. Epub 2020 Apr 13. PMID: 32284607

Phenotypic Suppression of ALS/FTD-Associated Neurodegeneration Highlights Mechanisms of Dysfunction.

Bartoletti M, Bosco DA, Da Cruz S, Lagier-Tourenne C, Liachko N, Markmiller S, Webster KM, Wharton KA.J

Journal of Neurosci.(2019) Oct 16;39(42):8217-8224. doi: 10.1523/JNEUROSCI.1159-19.2019. PMID: 31619490

FUS-mediated regulation of acetylcholine receptor transcription at neuromuscular junctions is compromised in amyotrophic lateral sclerosis.

Picchiarelli G, Demestre M, Zuko A, Been M, Higelin J, Dieterlé S, Goy MA, Mallik M, Sellier C, Scekic-Zahirovic J, Zhang L, Rosenbohm A, Sijlmans C, Aly A, Mersmann S, Sanjuan-Ruiz I, Hübers A, Messaddeq N, Wagner M, van Bakel N, Boutillier AL, Ludolph A, Lagier-Tourenne C, Boeckers TM, Dupuis L, Storkebaum E.

Nat Neurosci.(2019) Nov;22(11):1793-1805. doi: 10.1038/s41593-019-0498-9. Epub 2019 Oct 7.PMID: 31591561 

Disruption of RNA Metabolism in Neurological Diseases and Emerging Therapeutic Interventions.

Nussbacher JK, Tabet R, Yeo GW*, Lagier-Tourenne C*.

Neuron.(2019) Apr 17;102(2):294-320. doi: 10.1016/j.neuron.2019.03.014. PMID: 30998900 

Overriding FUS autoregulation in mice triggers gain-of-toxic dysfunctions in RNA metabolism and autophagy-lysosome axis.

Ling SC*, Dastidar SG, Tokunaga S, Ho WY, Lim K, Ilieva H, Parone PA, Tyan SH, Tse TM, Chang JC, Platoshyn O, Bui NB, Bui A, Vetto A, Sun S, McAlonis-Downes M, Han JS, Swing D, Kapeli K, Yeo GW, Tessarollo L, Marsala M, Shaw CE, Tucker-Kellogg G, La Spada AR, Lagier-Tourenne C, Da Cruz S, Cleveland DW*.

Elife. (2019) Feb 12;8. pii: e40811. doi: 10.7554/eLife.40811.

Premature polyadenylation-mediated loss of stathmin-2 is a hallmark of TDP-43-dependent neurodegeneration.

Melamed Z, López-Erauskin J, Baughn MW, Zhang O, Drenner K, Sun Y, Freyermuth F, McMahon MA, Beccari MS, Artates JW, Ohkubo T, Rodriguez M, Lin N, Wu D, Bennett CF, Rigo F, Da Cruz S, Ravits J, Lagier-Tourenne C*, Cleveland DW*.

Nat Neurosci.(2019) Feb;22(2):180-190. doi: 10.1038/s41593-018-0293-z. Epub 2019 Jan 14.

ALS/FTD-Linked Mutation in FUS Suppresses Intra-axonal Protein Synthesis and Drives Disease Without Nuclear Loss-of-Function of FUS.

López-Erauskin J, Tadokoro T, Baughn MW, Myers B, McAlonis-Downes M, Chillon-Marinas C, Asiaban JN, Artates J, Bui AT, Vetto AP, Lee SK, Le AV, Sun Y, Jambeau M, Boubaker J, Swing D, Qiu J, Hicks GG, Ouyang Z, Fu XD, Tessarollo L, Ling SC, Parone PA, Shaw CE, Marsala M, Lagier-Tourenne C, Cleveland DW*, Da Cruz S*.

Neuron.(2018) Nov 21;100(4):816-830.e7. doi: 10.1016/j.neuron.2018.09.044. Epub 2018 Oct 18.

Taking on the Elephant in the Tissue Culture Room: iPSC Modeling for Sporadic ALS.

Wainger BJ*, Lagier-Tourenne C*.

Cell Stem Cell.(2018) Oct 4;23(4):466-467. doi: 10.1016/j.stem.2018.09.015.

Animal models of neurodegenerative diseases.

Dawson TM*, Golde TE*, Lagier-Tourenne C*.

Nat Neurosci.(2018) Oct;21(10):1370-1379. doi: 10.1038/s41593-018-0236-8. Epub 2018 Sep 24. Review.

Nuclear-Import Receptors Reverse Aberrant Phase Transitions of RNA-Binding Proteins with Prion-like Domains.

Guo L, Kim HJ, Wang H, Monaghan J, Freyermuth F, Sung JC, O'Donovan K, Fare CM, Diaz Z, Singh N, Zhang ZC, Coughlin M, Sweeny EA, DeSantis ME, Jackrel ME, Rodell CB, Burdick JA, King OD, Gitler AD, Lagier-Tourenne C, Pandey UB, Chook YM, Taylor JP*, Shorter J*.

Cell.(2018) Apr 19;173(3):677-692.e20. doi: 10.1016/j.cell.2018.03.002.

Nuclear pores: the gate to neurodegeneration.

Li N, Lagier-Tourenne C.

Nat Neurosci.(2018) Feb;21(2):156-158. doi: 10.1038/s41593-017-0066-0. No abstract available.

CUG initiation and frameshifting enable production of dipeptide repeat proteins from ALS/FTD C9ORF72 transcripts.

Ricardos Tabet, Laure Schaeffer, Fernande Freyermut, Melanie Jambeau, Michael Workman, Chao-Zong Lee, Chun-Chia Lin, Jie Jiang, Karen Jansen-West, Hussein Abou-Hamdan, Laurent Désaubry, Tania Gendron, Leonard Petrucelli, Franck Martin*, Clotilde Lagier-Tourenne*

Nat Commun. (2018) 11;9(1):152. 

Novel autosomal dominant TNNT1 mutation causing nemaline myopathy.

Konersman CG, Freyermuth F, Winder TL, Lawlor MW, Lagier-Tourenne C, Patel SB.

Mol Genet Genomic Med. (2017) 5(6):678-691. 

Polyglutamine-expanded huntingtin exarcerbates age-related disruption of nuclear integrity and nucleocytoplasmic transport.

Gasset-Rosa F., Chillon-Marinas C., Goginashvili A., Atwal R.S., Artates J.W., Tabet R., Wheeler V.C., Bang A.G., Cleveland D.W.*. Lagier-Tourenne C.*

Neuron (2017) 94(1):48-57. 

Motor neuron intrinsic and extrinsic mechanisms contribute to the pathogenesis of FUS-associated amyotrophic lateral sclerosis.

Scekic-Zahirovic J., Oussini H.E., Mersmann S., Drenner K., Wagner M., Sun Y., Allmeroth K., Dieterle S., Sinniger J., Dirrig-Grosch S., Rene R., Dormann D., Haass C., Ludolph A.C., Lagier-Tourenne C., Storkebaum E.*, Dupuis L*. 

Acta Neuropathologica(2017) doi:10.1007/s00401-017-1687-9.

Gain of toxicity from ALS/FTD-linked repeat expansions in C9ORF72 is alleviated by antisense oligonucleotides targeting GGGGCC-containing RNAs.

Jiang J., Zhu Q., Gendron TF., Saberi S., McAlonis-Downes M., Seelman A., Stauffer JE., Jafar-Nejad P., Drenner K., Schulte D., Chun S., Sun S., Ling SC., Myers B., Engelhardt J., Katz M., Baughn M., Platoshyn O., Marsala M., Watt A., Heyser CJ., Ard MC., De Muynck L., Daughrity LM., Swing DA., Tessarollo L., Jung CJ., Delpoux A., Utzschneider DT., Hedrick SM., de Jong PJ., Edbauer D., Van Damme P., Petrucelli L., Shaw CE., Bennett CF., Da Cruz S., Ravits J., Rigo F., Cleveland DW.*, Lagier-Tourenne C.*

Neuron(2016)90(3):535-550.

C9ORF72 poly(GA) aggregates sequester and impair HR23 and nucleocytoplasmic transport proteins.

Zhang YJ., Gendron TF., Grima JC., Sasaguri H., Jansen-West K., Xu YF., Katzman RB., Gass J., Murray ME., Shinohara M., Lin WL., Garrett A., Stankowski JN., Daughrity L., Tong J., Perkerson EA., Yue M., Chew J., Castanedes-Casey M., Kurti A., Wang ZS., Liesinger AM., Baker JD., Jiang J., Lagier-Tourenne C., Edbauer D., Cleveland DW., Rademakers R., Boylan KB., Bu G., Link CD., Dickey CA., Rothstein JD., Dickson DW., Fryer JD., Petrucelli L.

Nature Neuroscience (2016) 19(5):668-77.

Toxic gain of function from mutant FUS protein is crucial to trigger cell autonomous motor neuron loss.

Scekic-Zahirovic J., Sendscheid O., El Oussini H., Jambeau M., Sun Y., Mersmann S., Wagner M., Dieterlé S., Sinniger J., Dirrig-Grosch S., Drenner K., Birling M.C., Qiu J., Zhou Y., Li H., Fu X.D., Rouaux C., Shelkovnikova T., Witting A., Ludolph A.C., Kiefer F., Storkebaum E.*, Lagier-Tourenne C.*, Dupuis L*.

EMBO J (2016) 35(10):1077-97.

Translational profiling identifies a cascade of damage initiated in motor neurons and spreading to glia in mutant SOD1-mediated ALS.

Sun S., Sun Y., Ling SC., Ferraiuolo L., McAlonis-Downes M., Zou Y., Drenner K., Wang Y., Ditsworth D., Tokunaga S., Kopelevich A., Kaspar B.K., Lagier-Tourenne C., Cleveland D.W.

PNAS (2015) 112:E6993-7002.

RNA-binding proteins in neurodegeneration: Seq and you shall receive. 

Nussbacher J., Batra R., Lagier-Tourenne C.*, Yeo G.W.*

Trends Neurosci (2015)38(4):226-236.

Novel clinical associations with specific C9ORF72 transcripts in patients with repeat expansions in C9ORF72.

van Blitterswijk M., Gendron T.F., Baker M.C., DeJesus-Hernandez M., Finch N.A., Brown P.H., Daughrity L.M., Murray M.E., Heckman M.G., Jiang J., Lagier-Tourenne C., Edbauer D., Cleveland D.W., Josephs K.A., Parisi J.E., Knopman D.S., Petersen R.C., Petrucelli L., Boeve B.F., Graff-Radford N.R., Boylan K.B., Dickson D.W., Rademakers R. 

Acta Neuropathol (2015)  PMID: 26437865.

Cerebellar c9RAN proteins associate with clinical and neuropathological characteristics of C9ORF72 repeat expansion carriers.

Gendron T.F., van Blitterswijk M., Bieniek K.F., Daughrity L.M., Jiang J., Rush B.K., Pedraza O., Lucas J.A., Murray M.E., Desaro P., Robertson A., Overstreet K., Thomas C.S., Crook J.E., Castanedes-Casey M., Rousseau L., Josephs K.A., Parisi J.E., Knopman D.S., Petersen R.C., Boeve B.F., Graff-Radford N.R., Rademakers R., Lagier-Tourenne C., Edbauer D., Cleveland D.W., Dickson D.W., Petrucelli L., Boylan K.B.

Acta Neuropathol (2015) 130(4):559-73.

Exome sequencing in amyotrophic lateral sclerosis identified risk genes and pathways.

Cirulli E.T., Lasseigne B.N., Petrovski S., Sapp P.C., Dion P.A, Couthouis J., Lu Y.F., Wang Q., Krueger B.J., Ren Z., Keebler J., Han Y., Levy S.E., Boone B.E., Wimbish J.R., Waite L.L., Jones A.L., Carulli J.P., Day-Williams A.G., Staropoli J.F., Xin W.W., Chesi A., Raphael A.R., McKenna-Yasek D., Cady J., Vianney de Jong J.M., Kenna K.P., Smith B.N., Topp S., Miller J., Gkazi A., FALS Sequencing Consortium, Al-Chalabi A, Van den Berg L.H., Veldink J., Silani V., Ticazzi N., Shaw C.E., Baloh R.H., Appel S., Simpson E., Lagier-Tourenne C., Pulst S.M., Gibson S., Trojanowski J.Q., Elman L., McCluskey L., Grossman M., Shneider N.A., Chung W.K., Ravits J.M., Glass J.D., Sims K.B., Van Deerlin V.M., Maniatis T., Hayes S.D., Ordureau A., Swarup S., Landers J., Baas F., Allen A.S., Bedlack R.S., Harper J.W., Gitler A.D., Rouleau G.A., Brown R., Harms M.B., Cooper G.M., Harris T., Myers R.M., Goldstein D.B.

Science (2015) 27;347(6229):1436-41.

ALS-causative mutations in FUS/TLS confer gain and loss of function by altered association with SMN and U1-snRNP.

Sun S., Ling S.C., Qiu J., Albuquerque C.P., Zhou Y., Tokunaga S., Li H., Qiu H., Bui A., Yeo G., Huang E.J., Eggan K., Zhou H., Fu X.D., Lagier-Tourenne C., Cleveland D.W.

Nat Commun (2015) 6:6171.

Exploring the effect of sequence length and composition on allele-selective inhibition of human huntingtin expression by single-stranded silencing RNAs.

Hu J., Liu J., Yu D., Aiba Y., Lee S., Pendergraff H., Boubaker J., Artates J.W., Lagier-Tourenne C., Lima W.F., Swayze E.E., Prakash T.P., Corey D.R.

Nucleic Acid Ther (2014) 14(3):199-209.

Mutant Huntingtin promotes autonomous microglia activation via myeloid lineage-determining factors.

Crotti A., Benner C., Kerman B.E., Gosselin D., Lagier-Tourenne C., Zuccato C., Cattaneo E., Gage F.H., Cleveland D.W., Glass C.K.

Nat Neurosci (2014)17, 513-521.

Direct conversion of patient fibroblasts demonstrates non-cell autonomous toxicity of astrocytes to motor neurons in familial and sporadic ALS.

Meyer K., Ferraiuolo L., Miranda C.J., Likhite S., McElroy S., Renusch S., Ditsworth D., Lagier-Tourenne C., Smith R.A., Ravits J., Burghes A.H., Shaw P.J., Cleveland D.W., Kolb S.J., Kaspar B.K.

PNAS (2014)111:829-32.

Targeted degradation of sense and antisense C9orf72 RNA foci as therapy for amyotrophic lateral sclerosis and frontotemporal dementia.

Lagier-Tourenne C.*, Baughn M.*, Rigo F., Sun S., Liu P., Li H-R., Jiang J., Watt A., Chun S., Katz M., Qiu J., Sun Y., Ling S-C., Zhu Q., Polymenidou M., Drenner K., Artates J.W., McAlonis M.M., Markmiller S., Hutt R.R., Pizzo D.P., Cady J., Harms M.B., Baloh R.H., VandenBerg S.R., Yeo G.W, Fu X.D., Bennett C.F., Cleveland D.W., Ravits J.

PNAS (2013)110:E4530-9.

ALS-linked TDP-43 mutations produce aberrant RNA splicing and adult-onset motor neuron disease without aggregation or loss of nuclear TDP-43.

Arnold E.S., Ling S.C., Huelga S.C., Lagier-Tourenne C., Polymenidou M., Ditsworth D., Kordasiewicz H.B., McAlonis-Downes M., Platoshyn O., Parone P.A., Da Cruz S., Clutario K.M., Swing D., Tessarollo L., Marsala M., Shaw C.E., Yeo G.W., Cleveland D.W.

PNAS(2013)110, E736-45.

Divergent roles of ALS-linked proteins FUS/TLS and TDP-43 intersect in processing long pre-mRNAs.

Lagier-Tourenne C.*, Polymenidou M.*, Hutt K.R.*, Vu A.Q, Clutario K.M., Baughn M., Huelga S.C., Ling S.C., Liang T.Y., Mazur C., Wancewicz E., Salim A., Watt A., Freier S., Hicks G.G, Donohue J.P., Shiue L., Bennett C.F., Ravits J., Cleveland D.W., Yeo G.W.

Nat Neurosci (2012)15, 1488-1497.

Misregulated RNA processing in amyotrophic lateral sclerosis.

Polymenidou M.*, Lagier-Tourenne C.*, Hutt K.R.*, Bennett C.F., Cleveland D.W, Yeo G.W.

Brain Res (2012)1462, 3-15. 

Long pre-mRNA depletion and RNA missplicing contribute to neuronal vulnerability from loss of TDP-43.

Polymenidou M.*, Lagier-Tourenne C.*, Hutt K.R.*, Huelga S.C., Moran J., Liang T.Y., Ling S.C., Sun E., Wancewicz E., Mazur C., Kordasiewicz H., Sedaghat Y., Donohue J.P., Shiue L., Bennett C.F., Yeo G.W., Cleveland D.W.

Nat Neurosci (2011)14, 459-468.

Molecular diagnosis of known recessive ataxias by homozygosity mapping with SNP arrays.

H’mida-Ben Brahim D., M’zahem A., Assoum M., Bouhlal Y., Fattori F., Anheim M., Ali-Pacha L., Ferrat F., Chaouch M., Lagier-Tourenne C., Drouot N., Thibaut C., Benhassine T., Sifi Y., Stoppa-Lyonnet D., N’guyen K., Pouget J., Hamri A., Hentati F., Amouri R., Santorelli FM., Tazir M., Koenig M.

J Neurol (2011)258, 56-67.

Rundataxin, a novel protein with RUN and diacylglycerol binding domains, is mutant in a new recessive ataxia.

Assoum M., Salih M.A., Drouot N., H’Mida-Ben Brahim D., Lagier-Tourenne C., AlDrees A., Elmalik S.A., Ahmed T.S., Seidahmed M.Z., Kabiraj M.M., Koenig M.

Brain (2010)133, 2439-47.

ALS-associated mutations in TDP-43 increase its stability and promote TDP-43 complexes with FUS/TLS.

Ling SC, Albuquerque CP, Han JS, Lagier-Tourenne C., Tokunaga S, Zhou H, Cleveland DW.

PNAS(2010)107,13318-23.

Reactive oxygen species, oxidative stress, and cell death correlate with level of CoQ10 deficiency.

Quinzii CM, Lopez LC, Gilkerson RW, Dorado B, Coku J, Naini AB, Lagier-Tourenne C., Schuelke M, Salviati L, Carrozzo R, Santorelli F, Rahman S, Tazir M, Koenig M, Dimauro S, Hirano M.

FASEB J(2010)24, 3733-43.

Variant CCG and GGC repeats within the CTG expansion dramatically modify mutational dynamics and likely contribute toward unusual symptoms in some myotonic dystrophy type 1 patients.

Braida C., Stefanatos RK., Adam B., Mahajan N., Smeets HJ., Niel F., Koenig M., Lagier-Tourenne C., Mandel JL., Faber CG., de Die-Smulders CE., Spaans F., Monckton DG.

Hum Mol Genet(2010)19, 1399-412.

TDP-43 and FUS/TLS: emerging roles in RNA processing and neurodegeneration.

Lagier-Tourenne C.*,Polymenidou M.*, Cleveland DW.

Hum Mol Genet (2010)19, R46-64.

Rethinking ALS: the FUS about TDP-43.

Lagier-Tourenne C., Cleveland D.W.

Cell(2009)136, 1001-4. 

Expanding CEP290 mutational spectrum in ciliopathies.

Travaglini L., Brancati F., Attie-Bitach T., Audollent S., Bertini E., Kaplan J., Perrault I., Iannicelli M., Mancuso B., Rigoli L., Rozet J.M., Swistun D., Tolentino J., Dallapiccola B., Gleeson J.G., Valente E.M., International JSRD Study Group, Zankl A., Leventer R., Grattan-Smith P., Janecke A., D’Hooghe M., Sznajer Y., Van Coster R., Demerleir L., Dias K., Moco C., Moreira A., Kim C.A., Maegawa G., Petkovic D., Abdel-Salam G.M., Abdel-Aleem A., Zaki M.S., Marti I., Quijano-Roy S., Sigaudy S., de Lonlay P., Romano S., Touraine R., Koenig M., Lagier-Tourenne C., et al.

Am J Med Genet (2009)149A, 2173-2180. 

Use of SNP array analysis to identify a novel TRIM32 mutation in limb-girdle muscular dystrophy type 2H.

Cossée M.*, Lagier-Tourenne C.*, Seguela C., Mohr M., Leturcq F., Gundesli H., Chelly J., Tranchant C., Koenig M., Mandel J.L.

Neuromusc Disord(2009)19, 255-260. 

SPG11 spastic paraplegia. Anew cause of juvenile parkinsonism.

Anheim M., Lagier-Tourenne C., Stevanin G., Fleury M., Durr A., Namer IJ., Denora P., Brice A., Mandel J.L., Koenig M., Tranchant C.

J Neurol(2009)256, 104-108.

ADCK3, an ancestral kinase, is mutated in a form of recessive ataxia associated with coenzyme Q10 deficiency.

Lagier-Tourenne C., Tazir M., Lopez L.C., Quinzii C.M., Assoum M., Drouot N., Busso C., Makri S., Ali-Pacha L., Benhassine T., Anheim M., Lynch D.R., Thibault C., Plewniak F., Bianchetti L., Tranchant C., Poch O., DiMauro S., Mandel J.L., Barros M.H., Hirano M., Koenig M.

Am J Hum Genet(2008)82, 661-672.

Homozygous mutation in SPATA16 is associated with male infertility in human globozoospermia.

Dam A.H., Koscinski I., Kremer J.A., Moutou C., Jaeger A.S., Oudakker A.R., Tournaye H., Charlet N., Lagier-Tourenne C., van Bokhoven H., Viville S.

Am J Hum Genet(2007)81, 813-820.

A new form of childhood onset, autosomal recessive spinocerebellar ataxia and epilepsy is localized at 16q21-q23.

Gribaa M., Salih M., Anheim M., Lagier-Tourenne C., H'Mida D., Drouot N., Mohamed A., Elmalik S., Kabiraj M., Al-Rayess M., Almubarak M., Betard C., Goebel H., Koenig M.

Brain(2007)130, 1921-1928.

AHI1 gene mutations cause specific forms of Joubert syndrome-related disorders.

Valente E.M., Brancati F., Silhavy J.L., Castori M., Marsh S.E., Barrano G., Bertini E., Boltshauser E., Zaki M.S., Abdel-Aleem A., Abdel-Salam G.M., Bellacchio E., Battini R., Cruse R.P., Dobyns W.B., Krishnamoorthy K.S., Lagier-Tourenne C.,Magee A., Pascual-Castroviejo I., Salpietro C.D., Sarco D., Dallapiccola B., Gleeson J.G., International JSRD Study Group.

Ann Neurol(2006)59, 527-534.

Human mitochondrial pyrophosphatase: cDNA cloning and analysis of the gene in patients with mtDNA depletion syndromes.

Curbo S.,Lagier-Tourenne C., Carrozzo R., Palenzuela L., Lucioli S., Hirano M., Santorelli F., Arenas J., Karlsson A., and Johansson M.

Genomics(2006)87, 410-416.

The gene disrupted in Marinesco-Sjogren syndrome encodes SIL1, an HSPA5 cochaperone.

Anttonen A.K., Mahjneh I., Hamalainen R.H., Lagier-Tourenne C., Kopra O., Waris L., Anttonen M., Joensuu T., Kalimo H., Paetau A., Tranebjaerg L., Chaigne D., Koenig M., Eeg-Olofsson O., Udd B., Somer M., Somer H., Lehesjoki A.E.

Nat Genet (2005) 37, 1309-1311.

Thymidine phosphorylase mutations cause instability of mitochondrial DNA.

Hirano M., Lagier-Tourenne C., Valentino M.L., Marti R., and Nishigaki Y.

Gene(2005)354, 152-6.

Homozygosity mapping of a third Joubert syndrome locus to 6q23.

Lagier-Tourenne C.,Boltshauser E., Breivik N., Gribaa M., Betard C., Barbot C., and Koenig M.

J Med Genet(2004)41, 273-277.

Two cousins with partial trisomy 12q and monosomy 12p recombinants of a familial pericentric inversion of the chromosome 12.

Lagier-Tourenne C., Ginglinger E., Alembik Y., De Saint Martin A., Peter M.O., Dulucq P., Jonveaux P., and Jeandidier E.

Am J Med Genet(2004)125A, 77-85.

Homozygosity mapping of Marinesco-Sjogren syndrome to 5q31. 

Lagier-Tourenne C., Tranebaerg L., Chaigne D., Gribaa M., Dollfus H., Silvestri G., Betard C., Warter J.M., and Koenig M.

Eur J Hum Genet(2003)11, 770-778.

Characterisation of mutations in 77 patients with X-linked myotubular myopathy, including a family with a very mild phenotype. 

Biancalana V., Caron O., Gallati S., Baas F., Kress W., Novelli G., D’Apice M.R., Lagier-Tourenne C., Buj-Bello, A., Romero, N.B., Mandel, J.L.

Hum Genet(2003)112, 135-142.

Linkage to 18qter differentiates two clinically overlap ping syndromes: congenital cataracts-facial dysmorphism-neuropathy (CCFDN) syndrome and Marinesco-Sjogren syndrome.

Lagier-Tourenne C., Chaigne D., Gong J., Flori J., Mohr M., Ruh D., Christmann D., Flament J., Mandel J.L., Koenig M., et al. 

J Med Genet(2002) 39, 838-843.